팝업레이어 알림

2897bd4848a66eb22808d7bfedb56088_1745311097_9132.png

621477a36aad7db5e46f966df7754dc9_1745559931_2047.jpg

SEOUL NO.1 ORTHOPAEDIC SURGERY HOSPITAL

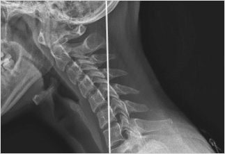
일자목 · 거북목

목은 7개의 척추와 그 척추를 연결해 주고 있는 디스크와 수많은 근육과....

척추측만증

척추측만증은 정면에서 보았을 때 일자로 되어야 할 척추가 여러...

골반 틀어짐

골반이 불균형해지면 그 위에 있는 요추, 흉추, 경추가 틀어지며, 다리까지 영향...

척추관협착증

척추관이란 머리 속의 뇌와 연결되어 뇌에서 발생한 신호를 팔과 다리로...

족저근막염

족저근막은 발뒤꿈치뼈에서 시작하여 발바닥 앞쪽으로 붙은 두껍고 강한...

턱관절

턱관절은 아래턱뼈인 하악골과 머리뼈의 한 부부인 측두골을...

CUSTOMER CENTER

02)987-1111

진료시간 안내

매주 월/수/금 오후 8시까지 야간진료
월/수/금 : 오전 9시 ~ 오후 8시
화/목 : 오전 9시 ~ 오후 6시
평일 점심시간 : 오후 1시 ~ 오후 2시
토요일 : 오전 9시 ~ 오후 2시
일요일, 공휴일 휴진